
A Bit About Frankie & the Kids
Share
Who are Frankie & the kids?
Click On Underlined Words for Link
Well, whenever something negative happens within our family, we try to turn our attitudes around and find the fun in things. Debi and Scott were discussing the cancer and Scott said that they needed to know what they were fighting, so he gave the tumor a name, Frank. But, when they discovered there was one primary tumor, AKA the "Mothership" and many other little ones (the kids), Debi changed it to Frankie.
This coming Tuesday, Debi will undergo surgery to remove three tumors: one is the size of a baseball, another is golf ball sized and the third is the size of a grape. The smallest one is wrapped around her phrenic nerve, which controls the diaphragm and helps with unconscious breathing. She has five tumors in her pancreas, as well as smaller ones all throughout her body and one benign hemangioma on her liver.
Neuroendocrine cells are found throughout all of our bodies. They begin to settle as we develop in the womb, and unfortunately, they can later form tumors just about anywhere. In neuroendocrine tumor (NET) cancer, there’s usually a dominant “mothership” tumor that communicates with the others. Removing it can help slow the spread and growth of the rest. We’re hopeful the baseball-sized tumor is the mothership, removing it could make a meaningful difference.
Debi will live with this type of cancer for the rest of her life, but with monthly treatments, the growths can be managed. Any new tumors that may appear down the road can be addressed when necessary.
Many people have asked what stage Debi’s cancer is. NET cancer doesn’t behave like traditional cancers, so staging is more complex and can’t be confirmed until after surgery. Based on current imaging and scans, if these were standard cancer cells, Debi might be considered stage 2–3, grade 2, but because NET cancer behaves differently, we won’t know more until surgery and pathology are complete.
The good news is that this type of cancer is not considered terminal. The outlook is hopeful and we’re grateful that we get to have Debi with us for a long time to come.
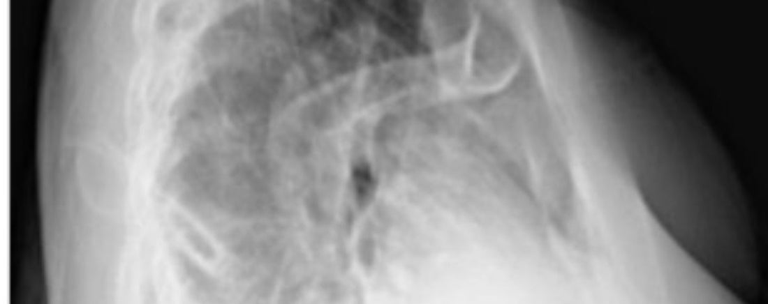
Below, you’ll see four X-ray images of Debi’s tumor. The first set highlights the tumor with an outline and the second uses arrows to point it out. X-rays can be tricky to interpret, so I’ve done my best to make it easy to follow. I hope it helps.
With Love,
Donna




1 comment
Thank you Donna. I’ve been so worried about Debi. Your explaining this really puts all of it into a visual that l can understand. I’m so sorry Debi has to face all of this, but with Scott & you & all of us, Debi will have a future of love & joy. Praying tomorrow is soon behind her & healing strength is soon to follow.🙏🙏💜💜